Bệnh viện Bãi Cháy cứu sống bệnh nhân nam 33 tuổi bị đột quỵ não
Các bác sĩ Bệnh viện Bãi Cháy vừa kịp thời can thiệp mạch não cứu sống một bệnh nhân nam 33 tuổi bị đột quỵ nhồi máu não do tắc động mạch não giữa trái, giúp người bệnh qua cơn nguy kịch và từng bước hồi phục vận động.
Bệnh nhân Nguyễn V. A (33 tuổi) nhập viện trong tình trạng thất ngôn, suy giảm ý thức, liệt nửa người phải. Theo người nhà, khoảng 19 giờ tối, bệnh nhân xuất hiện khó cử động tay, sau đó đi ngủ. Đến khoảng 5 giờ 30 phút sáng hôm sau, đồng nghiệp gọi nhưng bệnh nhân không trả lời, nhanh chóng được đưa vào cấp cứu.
Tại thời điểm nhập viện, bệnh nhân tỉnh chậm, thất ngôn, liệt hoàn toàn nửa người phải, sức cơ tay chân phải 0/5, thang điểm đột quỵ NIHSS: 12 điểm, huyết áp 140/80 mmHg.
Ngay lập tức, bệnh nhân được chụp MRI sọ não, kết quả cho thấy tắc động mạch cảnh trong – não trước – não giữa bên trái, đặc biệt tắc động mạch não trước đoạn A2 phải, gây nhồi máu não ổ bán cầu trái.

Phim MRI trước can thiệp.
Các bác sĩ chẩn đoán đột quỵ nhồi máu não do tắc động mạch lớn và nhanh chóng chỉ định chụp mạch số hóa xóa nền (DSA) và can thiệp nội mạch tái thông mạch não.

Th.BS Giáp Hùng Mạnh, Trưởng khoa Thần
kinh VLTL-PHCN, Bệnh viện Bãi Cháy cùng ê kíp thực hiện chụp và can thiệp cho bệnh nhân.
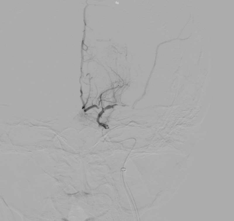
Kết quả chụp DSA xác định tắc động mạch não giữa trái đoạn M1 do hẹp nặng. Kíp can thiệp đã tiến hành nong bóng tái thông mạch máu, khôi phục dòng chảy lên não thành công.

Hình ảnh: DSA trong can thiệp hẹp nặng M1

Hình ảnh: Chụp DSA trước can thiệp thấy tắc M1 trái

Hình ảnh: DSA sau can thiệp tái thông TICI 3

Phim MRI sau 1 ngày can thiệp
Kíp can thiệp do Th.bác sĩ Giáp Hùng Mạnh, Trưởng khoa Thần kinh VLTL-PHCN, Bệnh viện Bãi Cháy cùng ê kíp thực hiện. Sau can thiệp, tình trạng người bệnh ổn định, tỉnh táo hơn, cải thiện vận động, sức cơ chân phải đạt 3/5, huyết áp 110/70 mmHg và đang tiếp tục được theo dõi, điều trị tại bệnh viện.

Th.BS Giáp Hùng Mạnh, Trưởng khoa Thần
kinh VLTL-PHCN, Bệnh viện Bãi Cháy khám lại cho bệnh nhân.
Th.bác sĩ Giáp Hùng Mạnh, Trưởng khoa Thần kinh VLTL-PHCN, Bệnh viện Bãi Cháy cho biết: đột quỵ não có thể xảy ra ở cả người trẻ tuổi và tiến triển rất nhanh. Việc nhận biết sớm các dấu hiệu đột quỵ và đưa người bệnh đến cơ sở y tế có khả năng can thiệp mạch não kịp thời đóng vai trò quyết định trong việc cứu sống người bệnh và hạn chế di chứng.
Các dấu hiệu cảnh báo đột quỵ cần lưu ý gồm:
- Méo miệng
- Yếu hoặc liệt tay chân một bên cơ thể
- Nói khó, nói ngọng hoặc không nói được
- Đau đầu dữ dội, chóng mặt, rối loạn ý thức
Bác sĩ Mạnh khuyến cáo: Khi xuất hiện các dấu hiệu trên, người dân cần đưa người bệnh đến bệnh viện càng sớm càng tốt, bởi “thời gian là não”, mỗi phút trôi qua có thể khiến hàng triệu tế bào não bị tổn thương.
Minh Khương
